義歯症例②仮義歯で念入りな調整を経て、本番の義歯は10年間快適に使用中の症例
義歯症例②仮義歯で念入りな調整を経て、本番の義歯は10年間快適に使用中の症例
こちらの方は、患者さまのご紹介で蕨歯科クリニックに来院されました。
ご希望は、「昔作った入れ歯が噛みづらく、安定が悪くすぐに外れてしまう。見た目も悪いので作り直して欲しい」という内容でした。
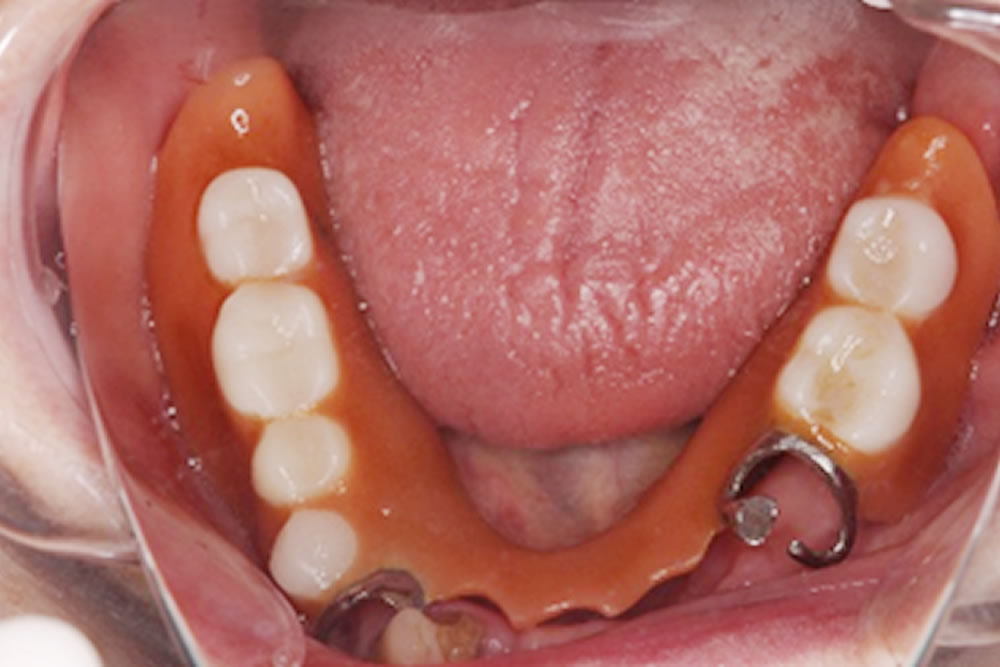
これまでの治療経緯やご希望などを更に詳しくお伺いした後に、口腔内の精密検査を行いました。むし歯や歯周病、噛み合わせの検査結果を基に、いくつかの治療方法をご提示し、今回は、保険外の金属床部分義歯(入れ歯)となりました。
咬合力、審美性の点では、インプラント治療との併用も考えられましたが、今後の管理や総合的な負担を考慮しての義歯治療となりました。
精密検査の結果、対処すべき点として
奥歯の人工歯がすり減っており、噛み合わせの高さが低くなり、噛み合わせがあっていない。
入れ歯を作った後に抜歯をしているため、バネがかかる歯がなく入れ歯を維持する歯がない。残ったご自身の歯の本数も少なく入れ歯を支えきれない可能性がある上、入れ歯のバネをかけるのは歯の形態や状態に難がある。
この状況を共有し、ご希望である「可能な限り歯を残して入れ歯を作りしっかり噛めるようにして欲しい」に沿うように治療計画を立てていきました。
先の歯周病検査の結果で、残った歯が入れ歯を支えるのに十分な強度があるかを調べ、強度は十分ではあるが単独だと長期的な安定は難しい思われるところは、残っている歯を連結することで安定を図りました。
すぐに入れ歯作りに取り掛かりたいところですが、治療の始まりは、おおむね歯周病の治療から行います。歯周病はお口の中の環境を悪化させる「菌」が原因ですので、この菌をコントールしなければ、他の治療の効果も上がってきません。
口腔内の環境を整えてからむし歯、神経の治療など基本的なこと完了してから咬合治療を行うことで、正確で安定した入れ歯に繋がります。
入れ歯治療も、いきなり最終義歯を作製するのではなく、まず仮義歯を作製します。
低くなっていた嚙み合わせを良好な状態に戻す工程では、顔貌の所見を参考にし、高さ(垂直的位置関係)を前歯で3~4㎜、奥歯で1.5~2㎜程度上げる設計としました。噛み合わせの位置(水平的位置関係)については、旧義歯が合っていなかったため、習慣性の咬合位(患者さまがいつも噛んでいる位置)は参考程度として、中心位(復元性のある理想的な位置)に修正していきました。
仮歯と仮義歯の調整を含め、1~2ヶ月程違和感がなくなるまで使用して頂きますが、この期間が、最終的な入れ歯の満足度に大きく影響してきます。
理想的な噛み合わせ(中心位)と患者さまの習慣的に噛んでいる位置(習慣性咬合位)、患者さまが噛みやすい位置(筋肉位)、患者さまのお口まわりの膨らみなどの審美的な面など、複数の観点から患者さまにとっての理想的な位置を決めていきました。その後、仮歯、仮の入れ歯の位置を最終的なセラミックの被せ物、入れ歯に置き換えていく流れとなります。
こちらの方は、治療後約10年経過をしています。現在も定期的にメンテナンスにお越しなり、意識も高く、その後治療が必要になった歯は1本もなく義歯も良い状態で使用されています。
天然歯、インプラント治療に比べると義歯の咀嚼効率は下がりますが、その方の今の状態と将来のシミュレーション結果を踏まえて、最善の提案をすることを念頭に治療にあたっております。
| 年齢/性別 | 70代 女性 |
|---|---|
| 治療期間 | 6ヵ月 |
| 治療回数 | 20回(義歯以外のむし歯、歯周病治療含む) |
| 治療費 | 上顎:チタン金属床部分義歯 324,000円(税込) 下顎:チタン金属床部分義歯 324,000円(税込) |
| リスクなど | ・全体の噛み合わせをいじる場合は、治療完了後に噛み合わせや顔貌に対して違和感が生じる場合があります。違和感が出たとしても、すぐに慣れますのでご安心ください。 ・もし顎の痛みなどの自覚症状などがあれば噛み合わせを調整する場合もあります。全体的な噛み合わせの治療を行う場合は仮歯で慣れる為の期間などもあり、治療期間が長期になりますのでご了承ください。 |













